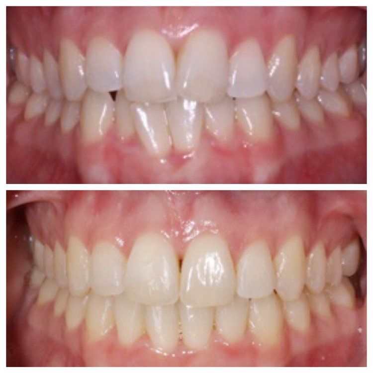
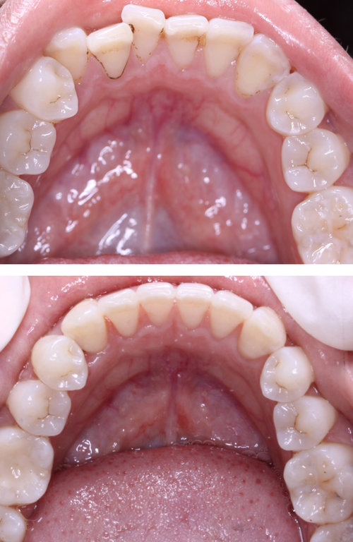
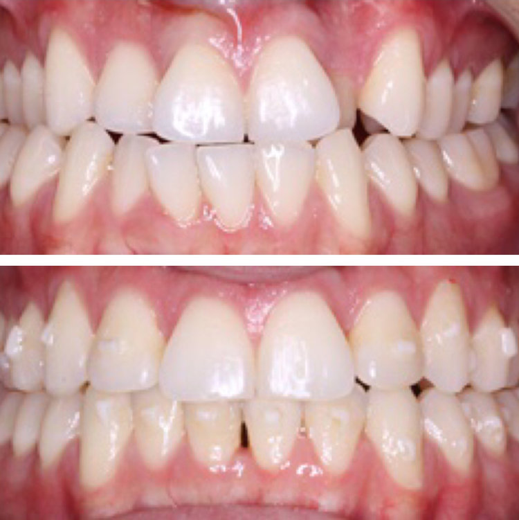
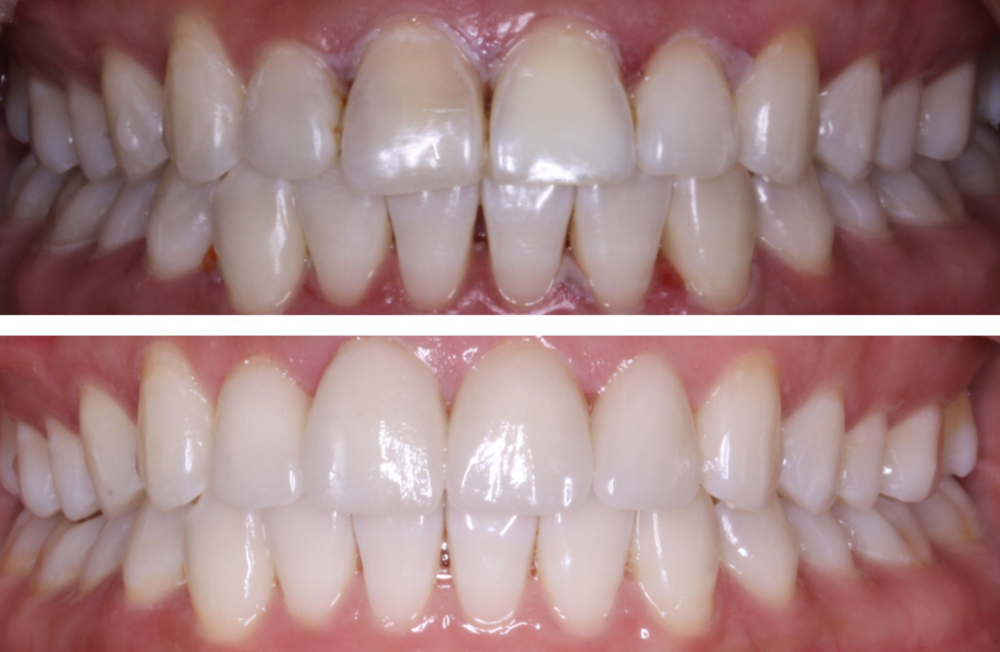
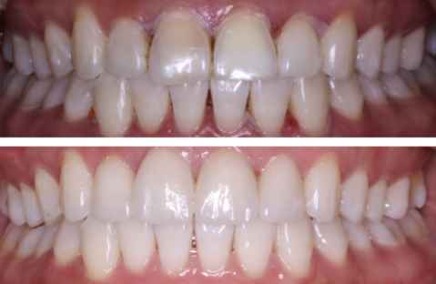
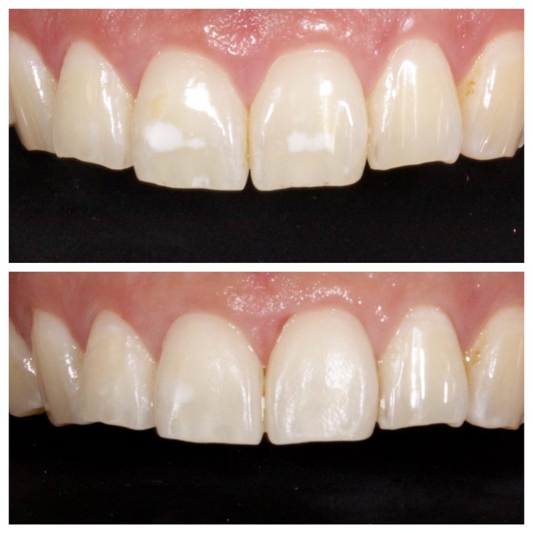
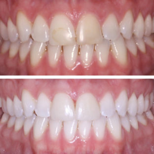
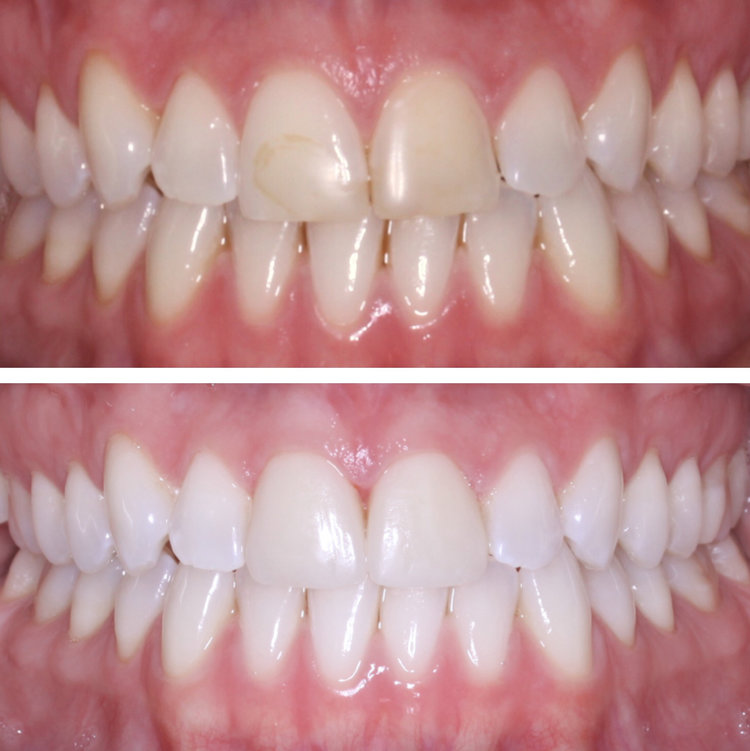
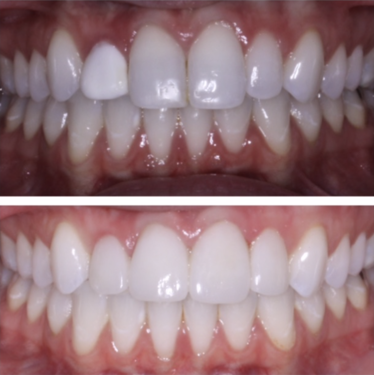
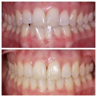
Cosmetic dental procedures including Invisalign®, crowns, whitening, porcelain veneers, closing gaps, are all ways to improve the look of your smile.
Cosmetic dental procedures including Invisalign®, crowns, whitening, porcelain veneers, closing gaps, are all ways to improve the look of your smile.

We always welcome new patients at NYC Smile Spa, and we pride ourselves on building lasting relationships. Our goal is to help you achieve a lifetime of excellent oral health!